本研究を行うに至った経緯
これまでの問題点
間質性肺疾患 (ILD) の併発は生命予後に影響を与える。
多発性筋炎/皮膚筋炎(PM/DM)は、指定難病の一つとされており、治療方法が確立されておらず、長期の療養を要する希少疾患である。PM/DM患者の半数以上にILDが併発し、死因として最も多い。特に、抗melanoma differentiation associated gene 5 (MDA5) 抗体が陽性例では、高率にILD を併発し、6 ヶ月以内に約4 割が呼吸不全で死亡する。一方、抗アミノアシルtRNA合成酵素 (ARS) 抗体陽性例も高率にILDを併発するが、1年生存率は90%以上と短期予後は良好なものの、再燃を繰り返し、緩徐に生存率が低下し、報告によっては、10年以降の生存率は50%以下である。
ILDの発症機序や病態に関する詳細が明らかとなっていない。
新型コロナウイルス感染症 (COVID-19) 感染症の流行を背景に、ウイルス感染により惹起される急性肺障害や血管障害など多くのの病態解析研究が、現在、進行中である。興味深いことに、COVID-19 でみられる重症肺障害の経過は、急性発症で血管障害を伴い、ステロイドやIL-6阻害薬が部分的に有効で、びまん性のCT肺画像所見、血清フェリチンやIL-6の上昇など検査所見、サイトカインストームによる病態など抗MDA5 抗体陽性DM-ILD ときわめて類似している。MDA5 はRNA ウイルスのセンサーとして働く抗ウイルス自然免疫で重要な役割を果たす分子であり、RNA ウイルスであるSARS-CoV-2感染が抗MDA5 抗体陽性PM/DM と類似した病態を惹起することは興味深い。私たちは、先行レジストリJAMIの解析から、抗MDA5抗体陽性例は冬季の発症が多く、河川や湖など淡水近くに居住する例が多いことを明らかにしている。さらに詳細な発症に関わる環境因子が明らかになれば病態解明に役立つだけでなく、適切な対策により発症が防止できる可能性もある。
PM/DMの疾患分類の適格性
抗ARS抗体などPM/DMに認められる筋炎特異的自己抗体が陽性であるもPM/DM に特徴的な筋症状や皮膚症状が明確でなく、ILDが前景にある症例も存在する。このような症例は、特発性間質性肺炎 (IIPs) あるいは、自己免疫の特徴を有する間質性肺炎(IPAF)、抗ARS 抗体陽性例では抗合成酵素抗体症候群 (ASSD) などと分類され、ガイドラインを含めてその臨床的な扱いが現状で不明確である。最近、アメリカリウマチ学会とヨーロッパリウマチ学会が共同でASSDの分類基準を策定する国際共同プロジェクト Classification for anti-synthetase syndrome project; CLASS を立ち上げ、PM/DM関連病態の疾患分類を見直す取り組みが始まっている。
PM/DM-ILDの臨床像は多様性がある。
ILDの進行の速さ、治療反応性、予後は、個々の症例によってきわめて多様性があり、 抗MDA5抗体や抗ARS抗体などの自己抗体の情報のみで治療方針を決めることは困難である。肺病変の進行速度・範囲・分布、血液中酸素化や肺活量などの肺機能など包括的に評価して、治療方針を決定する必要がある。

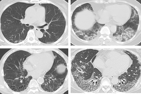
ILDのCT画像(個々の症例に応じてILDの画像特徴が異なる)
PM/DM-ILDに対する治療法は経験的・慣習的側面で行われている。
治療の第一選択薬は、ステロイドである。疾患活動性の制御、進行抑制や再発予防として、免疫抑制薬の併用が行われることが多い。希少疾患で、ILDの多様性、短期に致死的な経過を辿る可能性もあるため、ランダム化比較試験を行うことは現実的に難しく、これまでの個々の医師の経験や慣習に基づいて、治療が行われている。
また、抗MDA5抗体陽性例をはじめとした急速進行性ILDに対しては、2種以上の免疫抑制薬の併用した強力な免疫抑制療法が用いられているが、治療反応不良例や感染などの合併症での死亡例がみられる。
現状
上記の問題点より、診療においてILDの治療反応性、予後予測に基づいたリスク・ベネフィトバランスを勘案した個別化医療の実践が求められるようになった。
そのため、これら問題を克服する方法の一つにレジストリ構築が挙げられる。そこで、私たちはPM/DM-ILDの予後予測因子の解析を目的とした多施設レジストリ A multicenter retrospective cohort of Japanese patients with PM/DM-associated ILD; JAMI (UMIN000018663) を立ち上げ、日本全国44施設の関連診療科 (膠原病内科、呼吸器内科、皮膚科) から2011-2015年に499例を登録し、バイオマー カーを含めた予後予測モデル、発症と関連する環境要因、治療法の比較などの成果を国際学会や国際誌に報告してきた (下図)。

さらに、日本呼吸器学会と日本リウマチ学会が2020年に策定した「膠原病に伴うILD 診断・治療指針 」で、PM/DM-ILD の治療アルゴリズム案を以下のように提案した。

「膠原病に伴う間質性肺疾患 診断・治療指針2020」第1版より転載
日本呼吸器学会・日本リウマチ学会合同 膠原病に伴う間質性肺疾患 診断・治療指針2020作成委員会編. 日本呼吸器学会・日本リウマチ学会, 東京, 2020.
この治療アルゴリズム案を策定したことで、大まかな治療の方向性を示すことは出来だが、前向き介入試験をはじめとしたエビデンスを欠き、注釈 ・付記が多く、最終的な方針決定は担当医の判断に任せられているのが現状である。