筋炎に関する一般的な情報
筋炎とは
筋炎は、文字どおり、筋肉に炎症が生じる病気です。筋肉に炎症が生じると、筋肉痛が生じたり、筋肉を動かすのに力が入りにくくなり、日常生活の動作に支障をきたします。ウイルスなどの微生物、薬物など様々な原因で筋肉に炎症が生じます。中でも、膠原病の一種である皮膚筋炎や多発性筋炎、免疫介在性壊死性筋症では、微生物から自分の身をまもる免疫応答が、どういうわけか、自分の筋肉を攻撃してしまい、自己免疫応答の異常により筋肉に炎症が生じます。
病気が生じる詳細なメカニズムはまだ明らかとなっていませんが、生まれ持った体質のほか、ウイルス感染、薬物摂取、紫外線、喫煙といった様々な生活環境が影響して、筋炎が発症すると考えられています。
主な筋炎の症状
皮膚筋炎の患者さんでは、主に発疹(皮膚炎)と、手足の筋肉痛や力が入りにくい(筋炎)といった症状がみられます。
典型的な発疹としては、うわまぶたが赤く腫れぼったくなったり(ヘリオトロープ疹 [図1] )、手指、肘、膝の関節の伸びる側の皮膚表面が赤くなったり、皮がむけて皮膚の表面がやや厚ぼったくなります(ゴットロン徴候、ゴットロン丘疹 [図2] )。また、患者さんによっては、頭皮・顔・耳・首回り・お腹・背中・お尻の側面の皮膚が赤くなり、時にかゆみを伴うことがあります。
筋肉の症状として、「洗濯物を干す、物を持ち上げる、立ち上がる、階段を上る」などの肩や太ももの筋力が落ちます。また、喉の筋肉が弱くなり、食事の際にむせる、飲み込みにくいといった症状が出現することもあります。なかには、発熱、全身倦怠感、関節痛、筋肉痛といった全身の炎症症状を伴うこともあります。
一方、多発性筋炎や免疫介在性壊死性筋症の患者さんは、皮膚症状を伴わずに上記の筋肉の症状が主体となります。
また、皮膚筋炎に特徴的な発疹を認めるも、筋炎症状が乏しいこともあります。時に、他の皮膚の病気の発疹と類似していることもあり、皮膚筋炎の診断がむずかしいこともあります。


間質性肺疾患の症状
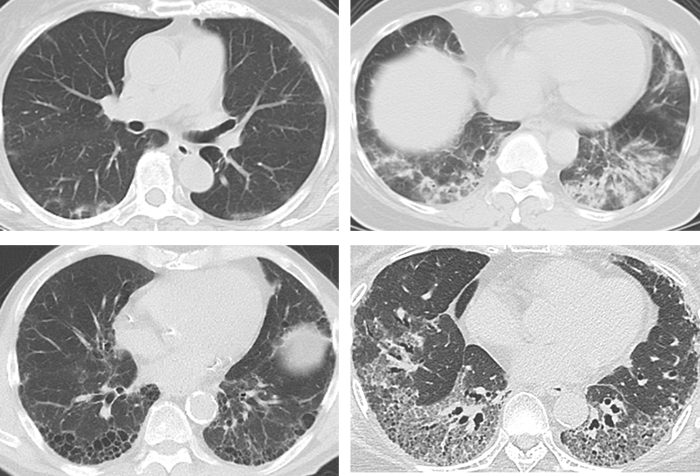
主な症状として、痰を伴わない咳が出る、動くと息が切れやすい、息を深く吸えないといった肺に関連した症状が出現します。しかし、病気が発症してまもない時期や肺の炎症が軽微な場合には、これらの症状は乏しく、肺の病状がある程度進行してから、症状が出現することもあります。また、以下の肺画像(図3)に示すように、個々の患者さんで、肺炎の分布や進行スピードなど特徴パターンが異なるため、症状の出現の仕方が異なります。

図3. 間質性肺疾患のコンピューター断層撮影(CT)画像(個々の患者さんによって肺炎の分布や画像特徴は異なります)
検査
確定診断および、体内の病変の広がりや重症度に基づく治療方針を決定するために以下の検査を行います。
1)筋肉に関する検査:徒手筋力テスト、血中筋原性酵素の測定、筋電図、筋MRI、筋生検
診察(徒手筋力テスト)で全身の筋力の強さを調べ、筋炎の重症度を評価します。血液検査では、筋肉に関連した酵素(筋原性酵素:クレアチニンキナーゼ[CK]、アルドラーゼなど)の数値を調べます。また、筋肉に細い針を刺して筋肉の状態を調べる筋電図や、場合によってMRIで筋肉の中の炎症部位や広がりを評価します(図4)。
筋肉の病気をきたす他の疾患の鑑別や筋炎の確定診断として、腕ないし太ももから筋肉を採取して、顕微鏡で筋肉の状態を評価する「筋生検」を行います。

図4. 筋MRI(太腿部の断面像:白い箇所が筋肉内の炎症を示唆する所見)
2)皮膚炎の鑑別:皮膚科での診察、皮膚生検
皮膚科医の診察で皮膚筋炎以外の病気がないか鑑別を行い、必要に応じて、皮膚の赤みのあるところから皮膚を一部採取して(皮膚生検)、皮膚炎の原因が皮膚筋炎に伴うものか判断することもあります。
3)内臓病変
筋炎の病気と関連して、皮膚・筋肉・関節の他、肺、心臓、消化管の内臓に炎症が生じることもあるため、治療前に心電図、胸部のレントゲン、断層写真(CT)、肺活量(肺機能)、内視鏡などの検査を行います。また、悪性腫瘍の併発を認めることがあるため、年齢に応じた、内臓のスクリーニング検査を行うこともあります。
4)血中自己抗体の検出
抗体とは、本来、微生物など自分と異なる異物や毒素に結合して、体外から排除する役割を担っています。筋炎患者さんの大半で、自分の細胞内の様々な成分に対して抗体(自己抗体)が体内でつくられ、血液中に検出されます。筋炎患者さんで最も頻度の高い自己抗体は、「抗アミノアシルtRNA合成酵素 (ARS) 抗体」で、約3割の患者さんで血液中に認められます。また、皮膚筋炎の患者さんでは、「抗melanoma differentiation-associated gene 5 (MDA-5) 抗体」、「抗transcriptional intermediary factor 1γ (TIF1-γ) 抗体」、「抗Mi-2抗体」のいずれかが血液中に認められることもあります。
診断
皮膚筋炎に特徴的な発疹(ヘリオトロープ疹、ゴットロン徴候ないしゴットロン丘疹)を認め、筋力低下など筋炎の症状が明らかな場合には、「皮膚筋炎」の診断に至ります。また、皮膚筋炎の発疹を認めるも、筋肉の症状が乏しく、上記の検査にて筋炎の所見を認めないあるいは軽微な場合は、「臨床的無筋症性皮膚筋炎」と診断になります。
一方、明らかな発疹を認めず、筋生検で筋肉の線維を取り囲むように炎症細胞(Tリンパ球)を認める場合には多発性筋炎と診断します。
また、筋肉の線維の周りには、炎症細胞が多く認められないも、筋肉の線維が壊れて(壊死)いる所見と筋肉の線維が再生している所見が混在し、筋肉の線維の表面に炎症のタンパク質(補体・免疫グロブリン)の沈着を認めた場合には、免疫介在性壊死性筋症と診断します。
治療
筋炎の治療
1)副腎皮質ステロイド薬
筋炎の治療の第一選択薬は、副腎皮質ステロイド薬となります。副腎皮質ステロイド薬の治療量は、病状の重症度や併発症に応じて調整します。通常は、副腎皮質ステロイド薬(プレドニゾロン換算として)体重1kgあたり0.75-1.0mg(体重60kgの方は45-60mg)を内服で開始します。病状によりますが、可能なかぎり、プレドニゾロンを減量し、中止を目指します。
2)免疫抑制薬
副腎皮質ステロイド薬の単剤の治療では、薬剤の減量に伴い再燃をきたしたり、副腎皮質ステロイド薬の総投与量増大に伴う副作用の出現が問題となることから、可能な限り免疫抑制薬を併用します。免疫抑制薬を早期から併用することで、副腎皮質ステロイド薬の速やかな減量が可能となり、副腎皮質ステロイド薬関連の副作用の軽減を図りつつ、筋炎の再発予防としての維持療法の役割も担います。
どの免疫抑制薬を使用するかは、患者さんの病状や併発症に基づいて、検討しております。
3)免疫グロブリン大量静注療法
上記の通常の副腎皮質ステロイド薬による治療で筋炎の病状が改善しない場合には、点滴で免疫グロブリンの静脈投与を1コース(5日間連続)行うこともあります。
筋炎関連の肺病変や心病変の治療
筋炎に関連して肺や心臓の筋肉に炎症が生じる間質性肺疾患や心筋炎では、上記の筋炎の治療と同様に副腎皮質ステロイド薬の内服で治療を行います。肺や心臓の病変が生命の危険にさらされていると判断した場合には、副腎皮質ステロイド薬の大量静脈投与(メチルプレドニゾン換算500-1,000mg/日)を3日間行うステロイドパルス療法を併用することもあります。原則、免疫抑制薬の投与を行いますが、病状に応じて、免疫抑制薬の種類の選択を検討します。
皮膚炎の治療
皮膚炎のみの症状の場合には、局所治療として副腎皮質ステロイドや免疫抑制薬の外用薬と遮光対策を心がけていただきます。しかし、皮膚症状が広範囲に及び、生活に著しく支障きたす場合には、副腎皮質ステロイド薬や免疫抑制薬の全身投与を行います。
参考文献
1. Tomimitsu H, et al. Epidemiologic analysis of the clinical features of Japanese patients with polymyositis and dermatomyositis. Mod Rheumatol. 2016;26(3):398-402. doi: 10.3109/14397595.2015.1091137. PubMed PMID: 26375202.
2. 五野貴久ら: 多発性筋炎・皮膚筋炎の診療における最近の捉え方. 日本内科学会雑誌2016; 105(11): 2251-2258.
3. Sato S, et al. Initial predictors of poor survival in myositis-associated interstitial lung disease: a multicentre cohort of 497 patients. Rheumatology (Oxford). 2018;57(7):1212-1221. doi: 10.1093/rheumatology/key060. PubMed PMID: 29596687.
4. 五野貴久:多発性筋炎・皮膚筋炎. リウマチ科:63(1);14-19, 2020.
5. 多発性筋炎・皮膚筋炎 治療ガイドライン.厚生労働科学研究費補助金難治性疾患等政策研究事業 自己免疫疾患に関する調査研究班 多発性筋炎・皮膚筋炎分科会 編. 初版, 診断と治療社, 東京, 2015.
6. 多発性筋炎・皮膚筋炎 治療ガイドライン(2020年暫定版).厚生労働科学研究費補助金難治性疾患等政策研究事業 自己免疫疾患に関する調査研究班 多発性筋炎・皮膚筋炎分科会 編. 2020.